Restoring Little Smiles - Fix. Protect. Smile Again
Dental restoration helps repair and strengthen your child’s damaged or decayed teeth to keep their smile healthy and bright.
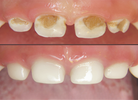
At Sleepy Smiles Dental, we specialize in gentle and effective dental restoration treatments designed specifically for children. Our goal is to restore the function and appearance of teeth while ensuring a comfortable experience for your little one.
Key Benefits of Dental Restoration for Kids:
- Repair Cavities and Decay: Remove decay and fill cavities with safe, tooth-colored materials.
- Fix Broken or Chipped Teeth: Restore damaged teeth to their natural shape and strength.
- Prevent Further Damage: Protect weakened teeth from worsening problems or infections.
- Enhance Appearance: Improve the look of teeth with natural, durable restorations.
- Support Oral Health: Promote proper chewing and speaking by maintaining healthy teeth.
Aesthetic-Restorations Our experienced pediatric dentists use minimally invasive techniques to provide long-lasting dental restorations while prioritizing your child’s comfort and wellbeing. Early restoration helps prevent pain and ensures a strong foundation for healthy teeth as they grow.
Aesthetic-Restorations Schedule a consultation with Sleepy Smiles Dental today to keep your child’s smile shining bright!
Tooth Pain
Tooth pain can be caused by various problems. Oral examination can help determine the cause.Broken or Chipped Tooth
Chipped teeth can be treated either by cosmetic bonding or porcelain restoration.Cavities & Decay
We use modern technology to detect decay in the earliest stages, saving and preserving your teeth.Tooth Stains
We offer a couple of whitening procedures to brighten your teeth and return the smile to your face.Happy healthy smiles!
Matthew Cruise
Dr. Orion is the best!
The Simons Family
A Wonderful expirience
Sandra White
SCHEDULE AN APPOINTMENT FOR A CONSULTATION.